¿Sabías que una variante congénita de la columna puede estar detrás de tu dolor lumbar o ciática? Se llama síndrome de Bertolotti y, aunque puede afectar hasta al 35% de la población, muchas veces pasa desapercibido durante años.
Introducción
¿Sufres de dolor lumbar persistente que no mejora con fisioterapia ni medicación? ¿El dolor se irradia a la nalga, la cadera o incluso la pierna, y nadie encuentra una causa clara? Podrías padecer el síndrome de Bertolotti, una condición frecuente pero poco reconocida, especialmente en pacientes jóvenes.
Descrito en 1917, aparece cuando la última vértebra lumbar (L5) se une de forma anómala al sacro o a la pelvis, generando una pseudoarticulación o incluso una fusión ósea. Esta variante se denomina vértebra transicional lumbosacra (VTL) y está presente en entre un 4% y un 35% de la población . Lo importante es que no todas las VTL producen síntomas: solo hablamos de síndrome de Bertolotti cuando esa unión anómala es la causa del dolor.
¿Qué tipos de vértebra transicional existen según la clasificación de Castellvi?
El Dr. Castellvi describió en 1984 una clasificación muy utilizada porque ayuda a entender qué variantes son más propensas a causar dolor :
· Tipo I: el proceso transverso de L5 es más grande de lo normal.
o Ia: en un lado.
o Ib: en ambos lados.
Generalmente asintomático.
· Tipo II: existe una pseudoarticulación entre L5 y el sacro/ilion.
o IIa: unilateral.
o IIb: bilateral.
Es el tipo que más frecuentemente da síntomas.
· Tipo III: el proceso transverso se fusiona completamente con el sacro.
o IIIa: unilateral.
o IIIb: bilateral.
Provoca rigidez y sobrecarga en el nivel superior (L4–L5).
· Tipo IV: combinación: un lado pseudoarticulación, otro lado fusión.
También asociado a dolor.

¿Por qué unas vértebras de transición duelen y otras no?
El dolor en el síndrome de Bertolotti es multifactorial :
· Pseudoarticulación inflamada: actúa como una articulación extra que se inflama y degenera, igual que una rodilla con artrosis.
· Compresión del nervio L5: a veces un espolón óseo comprime la raíz nerviosa, generando ciática (síndrome de far-out).
· Sobrecarga en L4–L5: al estar rígido L5–S1, el nivel de arriba se mueve más, apareciendo hernias y artrosis precoz.
· Dolor sacroilíaco y de cadera: la biomecánica cambia; hasta un 48% de los pacientes con Bertolotti presentan dolor de cadera, y el 78% mejora tras tratar la VTL .
· Debilidad ligamentaria: en VTL unilaterales, el ligamento iliolumbar afecto suele ser más fino e inestable .
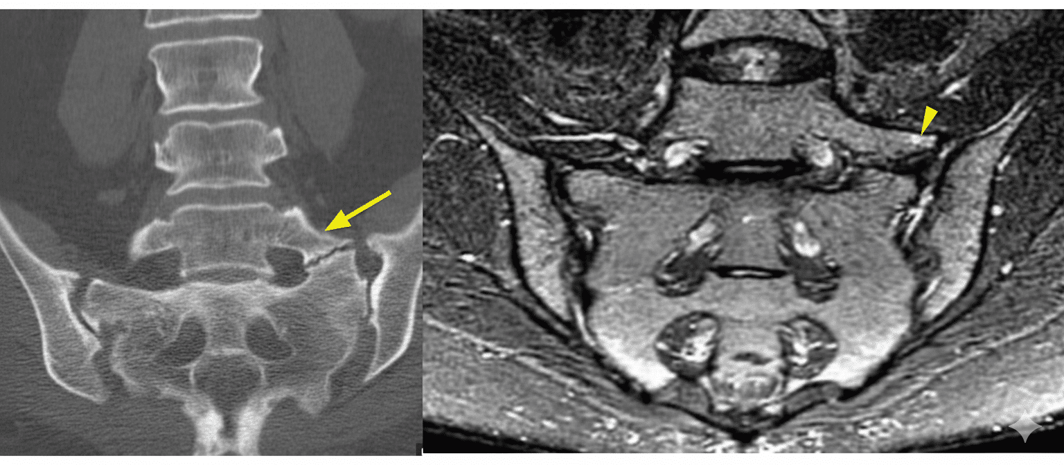
¿Cómo se diagnostica el síndrome de Bertolotti?
El diagnóstico suele retrasarse más de 3 años, porque sus síntomas se parecen a los de una hernia o artrosis .
Claves diagnósticas:
· Historia clínica: dolor lumbar crónico, en jóvenes, con irradiación a nalga, cadera o ingle.
· Pruebas de imagen:
o Radiografía con proyección de Ferguson → detecta la VTL.
o TC → precisa la anatomía ósea y los osteofitos.
o RM → evalúa discos, raíces y edema en la pseudoarticulación.
· Infiltración diagnóstica: el paso más importante. Se introduce anestésico en la pseudoarticulación. Si el dolor desaparece temporalmente, se confirma el diagnóstico .
¿Qué tratamientos existen para el síndrome de Bertolotti?
El manejo del síndrome de Bertolotti es escalonado y personalizado .
1. Conservador
· Fisioterapia para estabilizar la columna y la pelvis.
· Medicación antiinflamatoria.
Útil en casos leves, pero limitado si la pseudoarticulación sigue activa.
2. Infiltraciones guiadas
· Dónde se infiltra: pseudoarticulación (principal), facetas (L4–L5), sacroilíaca o raíz L5.
· Cómo se hace: con rayos X o ecografía, usando anestésico local (diagnóstico) y corticoides (terapéutico).
· Alternativas: toxina botulínica (Botox) cuando no se toleran corticoides .
3. Radiofrecuencia (RFA)
· Indicada si las infiltraciones alivian solo de forma temporal.
· Técnica avanzada: “denervación bipolar en banda”, que rodea la pseudoarticulación con calor controlado (80 °C / 90 s).
· Resultados: casos publicados muestran alivio de hasta 16 meses .
4. Medicina regenerativa
· Aplicación de PRP o células madre para modular la inflamación.
· Evidencia aún limitada en Bertolotti, pero prometedora por analogía con otras articulaciones.
5. Cirugía
· Processectomía: resección del hueso extra, indicada en contactos simples (Jenkins tipo 1).
· Fusión L5–S1: recomendada en pseudoarticulaciones completas (tipos 2 y 4).
· Resultados: la fusión mejora hasta el 89% de los casos tipo 2, frente a un 33% con resección aislada .
Conclusión
El síndrome de Bertolotti es una causa poco diagnosticada pero tratable de dolor lumbar y ciática. No todas las vértebras transicionales producen síntomas, pero cuando lo hacen, se puede confirmar con infiltraciones selectivas y tratar con técnicas modernas como radiofrecuencia o cirugía mínimamente invasiva.
Bibliografía
1. Castellvi AE, Goldstein LA, Chan DP. Lumbosacral transitional vertebrae and their relationship with lumbar extradural defects. Spine (Phila Pa 1976). 1984;9(5):493–5. doi:10.1097/00007632-198407000-00014. PMID: 6233710
2. Vergauwen S, Parizel PM, van Breusegem L, et al. Distribution and incidence of degenerative spine changes in patients with a lumbo-sacral transitional vertebra. Eur Spine J. 1997;6(3):168–72. doi:10.1007/BF01301431. PMID: 9258877
3. Otani K, Konno S, Kikuchi S. Lumbosacral transitional vertebrae and nerve-root symptoms. J Bone Joint Surg Br. 2001;83(8):1137–40. doi:10.1302/0301-620X.83B8.0831137. PMID: 11764422
4. Konin GP, Walz DM. Lumbosacral transitional vertebrae: classification, imaging findings, and clinical relevance. AJNR Am J Neuroradiol. 2010;31(10):1778–86. doi:10.3174/ajnr.A2036. PMID: 20173187
5. Hou L, Bai X, Li H, et al. Lumbar plain radiograph is not reliable to identify lumbosacral transitional vertebra types according to Castellvi classification principle. BMC Musculoskelet Disord. 2020;21:333. doi:10.1186/s12891-020-03358-3. PMID: 32571388
6. Golubovsky JL, Colbrunn RW, Klatte RS, et al. Development of a novel in vitro cadaveric model for analysis of biomechanics and surgical treatment of Bertolotti syndrome. Spine J. 2020;20(4):638–56. doi:10.1016/j.spinee.2019.10.011. PMID: 31669657
7. Mikula AL, Lakomkin N, Ransom RC, et al. Operative treatment of Bertolotti syndrome: resection versus fusion. World Neurosurg. 2022;165:e311–6. doi:10.1016/j.wneu.2022.06.042. PMID: 35753963
8. Jenkins AL, O’Donnell J, Chung RJ, et al. Redefining the classification for Bertolotti syndrome: anatomical findings in lumbosacral transitional vertebrae guide treatment selection. World Neurosurg. 2023;175:e303–13. doi:10.1016/j.wneu.2023.03.077. PMID: 37030317
9. Jenkins AL, Chung RJ, O’Donnell J, et al. Redefining the treatment of lumbosacral transitional vertebrae for Bertolotti syndrome: long-term outcomes utilizing the Jenkins classification. World Neurosurg. 2023;175:e21–9. doi:10.1016/j.wneu.2023.03.012. PMID: 36972721
10. Rakauskas M, Drazin D, Alvi MA, et al. Bertolotti’s syndrome: advances and future directions. Front Surg. 2024;11:1486811. doi:10.3389/fsurg.2024.1486811. PMID: 39726766
11. Burnham RF. Radiofrequency sensory ablation as a treatment for symptomatic unilateral lumbosacral junction pseudarticulation (Bertolotti’s Syndrome): a case report. Pain Med. 2011;12(6):869–74. doi:10.1111/j.1526-4637.2011.01098.x. PMID: 21627798


